Dr. Bagai and the staff at DuPage Dental Smiles are pleased to announce the acquisition of our state-of-the art 3D CT-Scan. While this technology has a wide range of applications, it is particularly useful in assisting with the dental implant procedure.
With the use of our new Carestream scanner, we can ensure our patients receive precisely accurate implant placement. The use of this technology means fewer adjustments will be needed in terms of crown height, as well as less gum pain due to loose, crooked, or ill-fitting implants.
More About Dental Implants
As an expert implant dentist to West Chicago residents, Dr. Bagai takes pride in the exceptional restorative and cosmetic dental work performed at DuPage Dental. Offering various options to restore and rejuvenate your smile, one of the most popular choices is the dental implant. It is a dental device consisting of a titanium rod, surgically embedded into the jawbone. This serves as the foundation for a natural looking replacement tooth (or teeth) which are created using porcelain, matched to the color of your natural teeth.
The correct placement of the titanium rod is key to the success of this procedure. This rod stimulates the surrounding bone to grow and integrate with it – just like the roots of natural teeth. This not only makes this tooth replacement extremely durable, but it also stabilizes the jawbone by encouraging growth – something ordinary dentures and partials do not do.
The best part is that your cosmetic dental implants provide more permanent restorations that don’t interfere with speech or function, and they look exactly like your natural teeth.
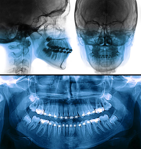
Implant Imaging
Pre-surgical imaging with CT scans assist Dr. Bagai in placing the implants in the precise location where it will allow the new tooth to merge seamlessly with your natural bite. This type of treatment plan ensures the precision and success of the implant procedure.

The 3D CT-scan is also used to assist in treatment planning, as these scans enable your dentist to better determine if dental implants are the right treatment option for you. For instance, CT imaging can help determine if the proposed implant site has sufficient bone density for a successful implant procedure.
Using 3D CT Scans and CT Scanners
These scanners precisely recreate, in 3D digital format, the insides of the mouth, including the structural tissues surrounding the mouth and beneath the gums. This allows the dentist to get a better picture of the entire jaw structure, assess bone quality, detect underlying pathology, determine the proper width and length of the implant to be placed, and learn the location of vital anatomical structures like the inferior alveolar nerve and the maxillary sinus.
Other Benefits of 3D CT-Scans
In addition to precise implant placement, these scanners can also be used to determine the position of a patient’s wisdom tooth or other teeth prior to extraction, sleep apnea study, cancer screening, and TMD treatment. Scans might also be used for complex cases of endodontic (root canal treatment).
Unlike dental x-rays that capture specifically targeted areas that the dentist will work on, the CT-scan doubles as an x-ray while accurately showcasing your entire mouth and jaw structure. Images are taken with the help of a rotating arm that captures multiple images of your head from various angles. These images are used to reconstruct 3D pictures of your internal anatomy with amazing accuracy.
The CT scan also uses less radiation than standard dental x-rays, making them a safer, as well as a faster and more accurate choice.
Contact DuPage Dental Smiles
If you are missing teeth, or dealing with any dental issue, we invite you to reach out to schedule an appointment with our highly-skilled dental team. We are always happy to answer any questions or address any concerns you may have in regard to cosmetic or general dentistry.